Одной из причин невозможности забеременеть может оказаться пиликистоз яичников. Это не приговор, ведь своевременное и грамотное лечение чаще всего дает женщине все шансы на зачатие. Чтобы не пропустить момента, когда пора обратиться к врачу с подозрениями на заболевание, желательно знать о нем как можно больше, особенно о его симптомах проявления. Беременность при поликистозе яичников возможна, главное вовремя заметить неладное.
Этиология поликистоза яичников
Первопричиной синдрома поликистозных яичников (СПКЯ) всегда является гормональный сбой. Конечно, его возникновение в определенный момент может быть запрограммировано генетически, однако в большинстве случаев причины все-таки другие. Среди них:
- сахарный диабет;
- заболевания, связанные с активностью вирусов и инфекций;
- лишний вес;
- высокий уровень стресса;
- сделанный в юном возрасте аборт.
Все эти факторы рано или поздно могут спровоцировать гормональный сбой, который и запускает цепочку реакций, со временем приводящий к СПКЯ.
Механизм достаточно прост:
- Гормоны действуют на один из наиболее чувствительных к ним женских органов яичники.
- Стенки яичников утолщаются, препятствуя успешному выходу созревшего фолликула в матку.
- Фолликул просто не может “протиснуться” через суженный толстыми стенками канал, а значит, никакого шанса на оплодотворение яйцеклетки нет.
Непригодившийся фолликул заполняется жидкостью и остается внутри яичника. И так происходит каждый цикл на протяжении всего времени течения болезни. Можно представить, что вскоре будет с яичником, он превратится в скопление водянистых кист. Это и есть поликистоз яичников.
Врачи отмечают, что поликистоз яичников (ПКЯ) может значительно влиять на фертильность женщины, однако шансы на зачатие все же существуют. Состояние связано с гормональными нарушениями, которые могут препятствовать овуляции. Тем не менее, многие женщины с ПКЯ успешно беременеют, особенно при правильном подходе к лечению.
Специалисты рекомендуют начать с изменения образа жизни: сбалансированное питание и регулярные физические нагрузки могут помочь нормализовать вес и улучшить гормональный фон. В некоторых случаях назначаются медикаментозные препараты, способствующие стимуляции овуляции.
Важно, чтобы женщины с ПКЯ находились под наблюдением врача, который сможет подобрать индивидуальную терапию и контролировать процесс. Современные методы лечения и поддержка специалистов дают надежду многим парам, мечтающим о ребенке.

Симптомы СПКЯ
Заподозрить болезнь нетрудно. Поликистоз, симптомы которого достаточно явны, сегодня диагностируется у 5-20% всех женщин, способных зачать ребенка. Однако при явной картине заболевания не все, во-первых, знают о его симптомах, а во-вторых, некоторые просто не придают им должного значения. Но ведь чем раньше врач назначит лечение, тем больше шансов у женщины со временем забеременеть.
Итак, к симптомам СПКЯ относятся:
- нерегулярность менструаций;
- кожные проблемы, появление угрей;
- еще больший набор веса;
- чрезмерное выделение кожного сала, волосы быстро становятся жирными, кожа приобретает жирный блеск;
- волосы на теле начинают расти по мужскому типу, их становится слишком много;
- в течение года не наступает беременность.
Хотя чаще всего первые пять из описанных симптомов тоже проявляются, в редких случаях их может и не быть вовсе. Тогда поводом обратиться к гинекологу становится только последний симптом тщетные попытки забеременеть.
Процедура диагностирования СПКЯ
Чтобы точно определить, связано ли бесплодие с поликистозом яичников, врачу потребуется провести ряд диагностических мероприятий:
- Сначала он опрашивает пациентку, фиксирует все беспокоящие ее симптомы, осматривает на гинекологическом кресле.
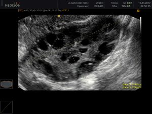
- Назначается УЗИ, на котором полностью обследуются органы малого таза.
- Синдром поликистозных яичников в репродуктивном возрасте обязательно протекает при изменении гормонального фона, поэтому тщательно исследуются гормоны, присутствующие в плазме крови: 17-ОН прогестерон, ЛГ, свободный тестостерон, ДГЭА-с, пролактин, ФСГ. Яичники, пораженные множественными кистами, вырабатывают чрезмерное количество мужских гормонов, поэтому анализ покажет их повышенный уровень.
- Часто СПКЯ становится причиной повышения таких показателей крови, как содержание в ней холестерина, глюкозы и триглицеридов, поэтому в обязательном порядке кровь подвергают биохимическому анализу.
- Пиликистоз яичников может развиваться на фоне инсулинорезистентности, а значит, становится обязательным проведение перорального анализа на толерантность к глюкозе.
- Если и после всех перечисленных исследований картина заболевания остается неясной, может быть назначена диагностическая лапароскопия.
Сведя все полученные результаты в единую картину, врач определяет, является ли причиной бесплодия поликистоз яичников.
Смотрите в этом видео о том, можно ли и как забеременеть при поликистозе яичников:
Поликистоз яичников (ПКЯ) — это распространенное эндокринное расстройство, которое может существенно влиять на фертильность женщин. Многие сталкиваются с трудностями при планировании беременности, и это вызывает множество вопросов и переживаний. Однако, несмотря на диагноз, шансы на зачатие существуют. Важно понимать, что ПКЯ может быть разным по степени выраженности, и подход к лечению должен быть индивидуальным.
Медики рекомендуют вести здоровый образ жизни, контролировать вес и уровень гормонов, что может улучшить овуляцию. Современные методы лечения, такие как медикаментозная терапия и индукция овуляции, помогают многим женщинам забеременеть. Также стоит учитывать, что поддержка со стороны специалистов и близких играет важную роль в этом процессе. Несмотря на сложности, многие женщины с ПКЯ успешно становятся матерями, и это вдохновляет других не терять надежду.

Лечение СПКЯ
Если диагноз поставлен, первым вопросом любой женщины к врачу будет Как забеременеть при СПКЯ? Действительно, возможность такая есть. Это может даже случиться спонтанно, без соответствующего лечения, вот только с таким заболеванием шансы выносить малыша невелики. Поэтому, узнав о поликистозе яичников, планировать беременность нужно лишь после устранения причин и последствий болезни.
Снижение веса
Первое, что врач порекомендует сделать женщине, нормализовать вес. Это условие многим кажется незначительным, однако связь между жировой тканью и гормонами ФСГ слишком велика, чтобы недооценивать ее. Если гипофиз мозга не вырабатывает нужного количества этого гормона (а именно это и является следствием избытка жира в организме), овуляция становится проблематичной. Специалист может порекомендовать определенный план и виды физической активности. Если приходится справляться с этой задачей самостоятельно, то начать можно с простых пеших прогулок и перехода на здоровое питание.

Гормональная терапия
Выбор гормонов, с помощью которых врач будет бороться с поликистозом яичников, зависит от причин возникновения сбоя. Их может быть несколько:
- фолликул не созревает;
- фолликул созревает, но овуляции не происходит;
- у женщины наблюдается инсулинорезистентность;
- в женском организме повышен уровень мужских гормонов.
Поскольку проблемы с зачатием и бесплодие могут возникать на фоне прошлых абортов, рекомендуем прочесть статью все о выскабливании и оперативных вмешательствах. Из нее вы узнаете о том, когда необходимо провести выскабливание, как лечиться после него, а также когда и как планировать беременность после чистки.
Стимуляция овуляции
В первом и втором случаях, если фолликул “не растет” и овуляции не происходит, проводится гормональная терапия, направленная на стимулирование этих процессов. Это и есть стимуляция овуляции при поликистозе яичников. Предварительно следует убедиться, что пара в принципе способна зачать ребенка. Для этого мужчина сдает сперму на анализ, а женщина направляется на исследование проходимости маточных труб. Если оба результата в норме, то начиная с пятого дня менструального цикла женщине назначается прием одного из стимулирующих препаратов, например, клостилбегита, кломифена, кломида.
Через пять дней препарат отменяется и начинается мониторинг роста фолликула, который должен достичь требуемых размеров. Сразу после этого назначается препарат, способствующий разрыву фолликула, в результате чего и произойдет овуляция высвобождение созревшей яйцеклетки. Чаще всего для этой цели используется препарат ХГЧ. Именно в это время должен произойти половой акт.
Поскольку на начальных этапах установить, произошло ли оплодотворение, сложно, примерно на 16 день цикла в любом случае назначаются препараты, поддерживающие желтое тело: утрожестан, прогестерон, дюфастон. Примерно через 2,5 недели потребуется сделать УЗИ, которое подтвердит или опровергнет зачатие.
Не всегда удается добиться желаемого результата уже после первого курса такой гормональной терапии. Если этого не произошло, то либо повышается доза стимулирующего рост фолликула препарата, либо назначаются средства из других лекарственных групп (например, гонал, меногон или менопур).
Лечение метформином
Если у женщины выявлена инсулинорезистентность (один из симптомов сахарного диабета), то ей может быть назначен препарат метформин. Сейчас все больше специалистов рекомендуют прописывать его пациенткам с поликистозом яичников даже в том случае, если речь об инсулинорезистентности не идет. Дело в том, что независимо от наличия или отсутствия симптомов сахарного диабета, метформин помогает нормализовать женский гормональный фон, что часто заканчивается беременностью.
Еще одна функция этого препарата он может сделать более действенной процедуру стимуляции овуляции, поскольку благодаря ему снижается резистенция яичников к применяемому препарату кломифену.
По некоторым данным, прием метформина, когда овуляция при поликистозе уже наступила, а также в период вынашивания беременности снижает риски осложнений и выкидыша.
Прием противозачаточных
Некоторые женщины бывают удивлены, когда вместо препаратов, способствующих наступлению беременности, им вдруг назначают противозачаточные средства. Однако в такой терапии есть смысл. Прием оральных контрацептивов помогает выровнять месячный цикл, а значит, наладить процесс созревания фолликула с последующей овуляцией. Кроме того, чаще всего назначаемые противозачаточные способствуют и нормализации баланса мужских и женских гормонов, благодаря чему устраняется еще одна из причин ненаступления беременности.
Лапароскопия
Это крайний метод, применяемый только в случае, если остальные средства так и не привели к овуляции, оплодотворению яйцеклетки и беременности. Обычно лапароскопию назначают не ранее, чем по истечении трех месяцев гормональной терапии, в результате которой так и не удалось добиться полноценного созревания фолликула.
Суть лапараскопии заключается в ведении в брюшною полость особых камер, которые сначала находят, а затем подвергают “дриллингу” пораженные кистами участки яичников. Дриллинг это хирургическое удаление уплотнений. В результате становится возможной овуляция. Более того, естественным образом в организме женщины понижается уровень мужских гормонов, ведь ткань, продуцирующая их, удалена.
Народные средства лечения поликистоза яичников
Следует помнить, что СПКЯ заболевание гормональное, и лечение поликистоза народными средствами является делом рискованным. Все процедуры должны предварительно обсуждаться с врачом. Можно посоветовать принимать укрепляющие женское здоровье травы, такие как боровая матка, красная щетка, базилик, солодка. Если врач одобрил выбранное средство, то ни в коем случае нельзя превышать дозировку, указанную на упаковке препарата.
В большинстве случаев поликистоза яичников беременность наступает уже в ближайшие 6-12 месяцев после проведения гормональной терапии. Конечно, при условии, что нет фактора мужского бесплодия. Если беременность не произошла в результате приема гормонов, то после лапароскопии можно зачать ребенка уже в ближайшую овуляцию (чаще всего это также происходит в течение года).
В том случае, если и лапароскопия не помогла, отчаиваться не стоит. Даже при удалении пораженного кистами яичника существует возможность воспользоваться методами ЭКО, которые позволяют выносить ребенка, зачатого с использованием донорской яйцеклетки.
Смотрите в этом видео о лечении поликистоза яичников:
Вопрос-ответ
Как поликистоз яичников влияет на фертильность?
Поликистоз яичников может затруднять зачатие из-за гормональных нарушений, которые приводят к нерегулярным овуляциям. Это может снизить шансы на беременность, однако многие женщины с этим состоянием успешно забеременели с помощью лечения и изменения образа жизни.
Какие методы лечения могут помочь при поликистозе яичников для зачатия?
Лечение поликистоза яичников может включать гормональную терапию, препараты для стимуляции овуляции, а также изменения в питании и физической активности. В некоторых случаях может потребоваться помощь репродуктивных технологий, таких как экстракорпоральное оплодотворение (ЭКО).
Каковы шансы на успешную беременность при поликистозе яичников?
Шансы на успешную беременность при поликистозе яичников зависят от индивидуальных факторов, таких как возраст, общее состояние здоровья и наличие сопутствующих заболеваний. С правильным лечением и поддержкой многие женщины могут забеременеть и родить здоровых детей.
Советы
СОВЕТ №1
Обратитесь к врачу для диагностики и составления индивидуального плана лечения. Поликистоз яичников может проявляться по-разному, и важно получить профессиональную оценку состояния вашего здоровья и рекомендаций по лечению.
СОВЕТ №2
Следите за своим весом и придерживайтесь здорового питания. Избыточный вес может усугубить симптомы поликистоза и затруднить зачатие. Сбалансированная диета и регулярные физические нагрузки помогут улучшить гормональный фон и повысить шансы на беременность.
СОВЕТ №3
Регулярно контролируйте уровень гормонов. Поликистоз яичников может вызывать гормональные нарушения, поэтому важно следить за уровнем инсулина, тестостерона и других гормонов. Это поможет врачу скорректировать лечение и повысить шансы на зачатие.
СОВЕТ №4
Рассмотрите возможность консультации с репродуктологом. Специалист в области репродуктивной медицины сможет предложить дополнительные методы лечения и вспомогательные репродуктивные технологии, которые могут помочь в планировании беременности.




